Les patients touchés par la perte de leurs dents naturelles disposent aujourd’hui d’options de traitements plus variées que jamais. La prothèse complète traditionnelle, qui était autrefois la norme de traitement du patient totalement édenté, cède lentement mais sûrement, le terrain aux restaurations complètes fixes sur implants, dont on connaît de mieux en mieux les caractéristiques supérieures de stabilité, de fonction et d’esthétique. Les matériaux prothétiques ont également évolué à pas de géant, et il est maintenant possible de fraiser la zircone monolithique, pour fabriquer des prothèses complètes fixes sur implants.
Laissant à l’arrière la résine acrylique et sa vulnérabilité à l’usure, aux éclats, aux colorations et à la fracture, la zircone ajoute la durabilité aux qualités qui font de la prothèse fixe sur implants, le choix de restauration ultime pour les cas d’édentement total.
La souplesse de la technologie dentaire par CFAO et les propriétés matérielles de la zircone monolithique permettent la conception variée et la fabrication de restaurations extrêmement résistantes, pour les patients totalement édentés. Par exemple, grâce à une résistance à la flexion pouvant atteindre 1 465 Mpa, la zircone solide BruxZir (Glidewell Laboratories) peut être fraisée jusqu’à l’obtention de couches minces, tout en conservant un niveau élevé de durabilité qui a fait le renom du matériau.
Elle offre donc la possibilité de fabriquer des restaurations qui vont de la prothèse complète en zircone monolithique sur implants, dont la forme ressemble à celle d’une restauration hybride vissée, à des prothèses à sceller, qui se fixent sur des piliers personnalisés, à la manière des couronnes et des bridges classiques.
Bien que la restauration complète fixe en zircone monolithique vissée sur implants ait gagné en popularité au cours des dernières années, la solution à sceller convient très bien à de nombreux patients. En présence d’un volume suffisant de tissus durs et mous, des prothèses qui émergent directement de la gencive et offrent aux patients l’esthétique et la sensation de dents naturelles, sont tout à fait concevables. De plus, l’utilisation de piliers personnalisés pour y sceller et ancrer un bridge complet, donne lieu à des restaurations dotées d’un profil d’émergence réduit et d’un diamètre vestibulo-lingual minimal. Cette solution est intéressante pour de nombreux patients et permet d’envisager une restauration fixe dans les cas où l’espace vertical est limité.
Les prothèses en zircone monolithique prévues pour un scellement sur implants, peuvent être fabriquées selon différents concepts qui ont été décrits par le Dr Carl Misch dans sa classification des densités osseuses pour la chirurgie implantaire.1 Bien que leurs indications les plus courantes soient les cas de prothèses fixes FP-1 et FP-2, où les dents prothétiques émergent des gencives telles des dents naturelles, elles peuvent également convenir aux restaurations de type FP-3, qui sont des prothèses monolithiques comportant des zones gingivales roses, permettant de reconstituer le tissu mou.1 Quel que soit le type de prothèse indiqué, la précision de la technologie dentaire par CFAO et la souplesse d’emploi de la zircone plein contour, permettent le fraisage de toute la restauration à partir d’un seul bloc du matériau, ajoutant de ce fait une composante à la résistance globale.
Tous ces types de prothèses contribuent à la préservation du tissu osseux, à l’efficacité de la fonction dentaire, à l’effet bénéfique sur le psychisme et à une meilleure qualité de vie car, parmi toutes les options prothétiques, les prothèses fixes sur implants sont celles qui se rapprochent le plus des dents naturelles.2, 3
L’utilisation de piliers personnalisés pour ce type de restauration – et au demeurant, pour toutes les prothèses à sceller – est fondamentale, dans la mesure où ils permettent de positionner les limites marginales en juxta-gingival ou très légèrement en sous-gingival, et par conséquent, d’améliorer la rétention de la couronne, l’aspect des bords des tissus mous cervicaux et finalement, le profil d’émergence.4, 5 La précision et la latitude du positionnement de la prothèse offertes par les piliers personnalisés favorisent également l’adaptation passive de la restauration et facilitent la correction des différentes angulations des implants.
L’étude de cas présentée ici illustre une restauration intéressant toute l’arcade au moyen de bridges complets en zircone BruxZir, qui seront scellés sur des piliers personnalisés en titane Inclusive (Laboratoires Glidewell). L’article décrit le protocole de traitement de ce type de restauration ainsi que les paramètres généraux permettant de déterminer si cette solution est indiquée pour la patiente concernée. Une technique prothétique standard, une planification de traitement numérique et la technologie CFAO ont permis de mener à bien ce cas esthétiquement complexe.
Présentation du cas
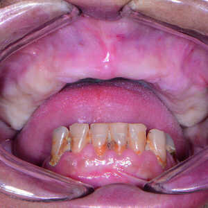
Une patiente dans la cinquantaine a consulté mon cabinet pour le traitement de son maxillaire édenté et de ses dents mandibulaires extrêmement déchaussées et cariées (Figs. 1 et 2). La patiente était une grande fumeuse, n’avait consulté aucun dentiste depuis plusieurs années, et négligeait de prendre soin de ses dents restantes en raison de l’inconfort et de la douleur qu’elle ressentait.
Fig-1-Vue-préopératoire-avec-écarteur-de-lèvres-300x300-
Fig-2-Vue-préopératoire-avec-écarteur-de-lèvres-sans-prothèse-300x300-
Fig-3-Présentation-du-traitement-de-l’arcade-maxillaire-300x300-
Fig-4-Présentation-du-traitement-de-l’arcade-mandibulaire-300x300-
Fig-5-Analyse-dento-faciale-du-traitement-implantaire-proposé-dans-l’arcade-maxillaire-300x300-
Fig-6-Analyse-dento-faciale-du-traitement-implantaire-proposé-dans-l’arcade-mandibulaire-300x300-
Fig-7-Guide-chirurgical-pour-implants-maxillaires-300x300-
Fig-8-Guide-chirurgical-pour-implants-mandibulaires-300x300-
Fig-9-Mise-en-place-du-guide-chirurgical-maxillaire-300x300-
Fig-10-Tenons-parallèles-mis-en-place-300x300-
Fig-11-Insertion-d’un-implant-dentaire-Hahn-300x300-
Fig-12-Coiffes-de-cicatrisation-mises-en-place-300x300-
Fig-13-Arcade-mandibulaire-anesthésiée-300x300-
Fig-14-Guide-chirurgical-mandibulaire-stabilisé-300x300-
Fig-15-Implants-et-coiffes-de-cicatrisation-entourés-du-matériel-de-greffe-300x300-
Fig-16-Prothèses-immédiates-rebasées-par-un-matériau-souple-300x300-
Fig-17-Crête-maxillaire-quatre-mois-après-l’intervention-300x300-
Fig-18-Crête-mandibulaire-quatre-mois-après-l’intervention-300x300-
Fig-19-Piliers-Inclusive-fabriqués-par-CFAO-300x300-
Fig-20-Composant-du-sourire-en-PMMA-300x300-
Fig-21-Vue-des-dents-non-engrenées-300x300-
La prothèse amovible maxillaire qu’elle portait depuis la perte de ses dents une dizaine d’années plus tôt, était devenue de mplus en plus instable au fil du temps. Le souhait de porter une restauration qui lui donnerait davantage la sensation et la fonction de dents naturelles l’avait incitée à venir consulter mon cabinet car elle pouvait y recevoir le traitement chirurgical et prothétique sous un même toit. Les évaluations intra-orales et radiographiques ont indiqué un volume osseux suffisant pour une restauration complète sur implants.
Les possibilités de traitement de son arcade supérieure édentée et de ses dents mandibulaires irrécupérables ont été présentées à la patiente, notamment les diverses combinaisons de prothèses fixes et amovibles sur implants. L’entretien incluait une explication sur l’édentement total et ses problèmes, les conséquences et les solutions, l’incidence de la perte des dents sur la santé bucco-dentaire, et les différences dans la stabilité et la fonction inhérentes à chaque traitement. Les formules de financement des traitements dentaires ont également été expliquées. Cet aspect est une composante importante de la présentation d’un traitement car il peut permettre à des patients ne pouvant assumer les coûts à l’avance, d’envisager la faisabilité d’un traitement implantaire.
La patiente souhaitait ardemment des restaurations fixes car, au fil des ans, sa prothèse amovible maxillaire l’avait de plus en plus déçue. Cette patiente souffrait en outre d’un réflexe pharyngé sévère et le choix d’une restauration fixe était donc la meilleure solution, car elle libérerait le palais.
L’arcade maxillaire nécessitait une prothèse FP-3 en raison du degré élevé de résorption osseuse et de récession gingivale. Dans la mandibule, les contours tissulaires devaient également être recréés, ce qui exigeait un nivellement osseux, pour éliminer les contre-dépouilles, préparer une table occlusale idéale, placer correctement un guide chirurgical à appui osseux et établir une largeur d’os adéquate, qui permettrait la mise en place des implants.
L’anatomie des crêtes de la patiente exigeait une solution à sceller car, en raison du volume osseux vestibulo-lingual, plusieurs des implants devaient être inclinés, d’une manière telle que les puits d’accès auraient été trop loin de la face vestibulaire, en cas d’utilisation de prothèses vissées. Cette solution aurait été particulièrement problématique chez cette patiente car les habitudes tabagiques provoquent un noircissement du composite utilisé pour le scellement des puits d’accès aux vis. La patiente souhaitait également des prothèses qui occuperaient aussi peu d’espace vestibulopalatin que possible et cette exigence allait d’autant plus dans le sens d’une solution à sceller. Des piliers personnalisés seraient donc utilisés pour corriger l’angulation des implants et soutenir les restaurations complètes en zircone BruxZir. La fabrication monolithique de la prothèse FP3, dont les surfaces gingivales et les dents sont toutes deux fraisées dans le même bloc de zircone solide, garantirait la meilleure longévité possible à la restauration.
La patiente est revenue pour passer la visite des enregistrements. Au cours de celle-ci, des empreintes maxillaires et mandibulaires ont été prises afin de fabriquer des prothèses provisoires immédiates qui seraient mises en place lors de la visite prévue pour la chirurgie. Le scanner CS 8100 3D (Carestream Dental) a été utilisé pour acquérir des images CBCT, et obtenir ainsi les données nécessaires au plan de traitement virtuel. Les données 3D acquises grâce à la numérisation CBCT ont permis de déterminer les paramètres idéaux de longueur, de largeur et de positionnement des implants, aux endroits clés des arcades édentées de la patiente, soit les régions des premières molaires, premières prémolaires, canines et incisives centrales (Figs. 3–6). Des guides chirurgicaux à appui osseux maxillaire et mandibulaire ont été produits d’après le plan de traitement numérique conçu par 3D Diagnostix (Figs. 7 et 8).
Le choix des implants utilisés pour le traitement s’est porté sur le système d’implants coniques Hahn, en raison du filetage très marqué qui aiderait à réaliser l’objectif idéal, en termes de positionnement et de stabilité primaire. La forme conique et la vaste gamme de tailles ont également simplifié la tâche consistant à placer les implants dans les positions clés des arcades. La connexion hexagonale interne conique assure un joint très stable entre l’implant et la prothèse, au grand bénéfice de la préservation de l’os crestal et de la santé des tissus mous.3
Au cours de la visite prévue pour la chirurgie, une sédation intraveineuse a été administrée à la patiente. Après le décollement d’un lambeau tissulaire, le guide chirurgical à appui osseux a été ajusté sur le maxillaire et les tenons de fixation ont été serrés (Fig. 9). Les ostéotomies implantaires ont été pratiquées selon le protocole chirurgical simplifié du système d’implants coniques
Hahn. Huit implants ont été posés dans le maxillaire, le long du segment de l’arcade délimité par les deuxièmes molaires (Figs. 10 et 11). Des piliers de cicatrisation ont été connectés aux implants, afin de favoriser la préparation du tissu mou pour la phase de restauration (Fig. 12).
Ensuite, les dents mandibulaires, qui étaient irrécupérables (Fig. 13), ont été extraites à l’aide du davier Physics Forceps (GoldenDent), un lambeau a été décollé et une alvéoloplastie réalisée. Un guide chirurgical à appui osseux a été mis en place pour vérifier l’emplacement et l’angulation des ostéotomies implantaires (Fig. 14). Étant donné que les implants coniques Hahn sont pourvus d’un filetage auto-taraudeur, les filets profonds et tranchants, pénètrent dans les parois des sites alvéolaires et permettent de maintenir l’implant dans la position appropriée, par rapport à la paroi linguale.
À la suite du nivellement osseux, on pouvait s’attendre à un gonflement des tissus, et des piliers de cicatrisation de 5 mm de hauteur ont donc été connectés aux implants de l’arcade mandibulaire (Fig. 15). Les prothèses immédiates ont été rebasées avec un matériau souple (Mucopren, de Kettenbach) afin de les insérer sur les piliers de cicatrisation, dont la forme en sablier et les zones rétentives assurent un degré de rétention qui améliore la fonction dentaire pendant la cicatrisation (Fig. 16).
Quatre mois plus tard (Figs. 17 et 18), les piliers de cicatrisation de l’arcade maxillaire ont été désenfouis par une technique chirurgicale, puis les tissus ont été soigneusement refermés. Après la cicatrisation, soit environ deux à trois semaines plus tard, des coiffes d’empreinte ont été mises en place sur les implants coniques Hahn et des empreintes ont été prises au moyen d’un porte-empreintes fermé et d’un matériau en polysiloxane de vinyle (Panasil, de Kettenbach). Un enregistrement de l’occlusion a également été réalisé (Futar, de Kettenbach). Les prothèses immédiates étant bien adaptées et satisfaisantes selon l’avis de la patiente, des répliques ont été envoyées au laboratoire aux fins de concevoir les restaurations définitives. Le laboratoire a utilisé les empreintes pour couler et scanner des modèles en plâtre-pierre, créer une image numérique des arcades de la patiente sur lesquelles les modèles des piliers personnalisés, et des restaurations à sceller ont été conçus. Les piliers personnalisés en titane Inclusive ont été fabriqués avec les composants du sourire en polyméthacrylate de méthyle (PMMA) correspondants.
La patiente est revenue pour une évaluation clinique du modèle prothétique. Les piliers personnalisés ont été mis en place à l’aide de guides de positionnement en acrylique, fournis par le laboratoire pour faciliter l’orientation adéquate pendant l’insertion (Fig. 19). Grâce à la précision de la technique de conception numérique, l’ajustage des piliers personnalisés s’est révélé parfait et définissait des limites marginales positionnées exactement, ou à une distance négligeable de la surface gingivale. Cette précision a fortement simplifié l’élimination de l’excès de ciment des limites marginales et illustre les avantages des piliers produits en CFAO.
Les composants du sourire en PMMA ont été ajustés sur les piliers personnalisés et de légères modifications ont été apportées pour parfaire le rebord marginal de la gencive, la longueur des dents et l’occlusion (Fig. 20). Un enregistrement occlusal a été réalisé au moyen des bridges conçus pour l’essayage.
Les composants du sourire en PMMA ont été retournés au laboratoire en même temps que les photographies, l’enregistrement occlusal et des instructions concernant des modifications mineures, notamment une réduction de la limite marginale gingivale de la prothèse mandibulaire et un rehaussement de la limite marginale gingivale de la prothèse maxillaire. Le laboratoire a scanné les bridges en PMMA, ajustés au cours de l’essayage, a réalisé les modifications demandées sur les modèles prothétiques, et a fraisé les prothèses définitives dans des blocs de zircone solide BruxZir.
Les restaurations définitives ont été mises en place au cours de la visite suivante et montraient une adaptation, une fonction et une relation inter-occlusale précises (Figs. 21 et 22). Grâce à la phase d’essayage, aucun ajustement des prothèses en zircone monolithique n’a été nécessaire, car les bridges en PMMA avaient permis de définir précisément les modifications nécessaires à l’obtention de la forme et de l’esthétique parfaites. Une dernière radiographie a confirmé l’adaptation totale des restaurations en zircone BruxZir sur les piliers implantaires personnalisés Inclusive. La patiente s’est montrée extrêmement satisfaite de la reconstruction de ses arcades maxillaire et mandibulaire dont le rétablissement de l’esthétique et de la fonction dentaire lui avait rendu confort et confiance.
Conclusion
La précision de la technologie dentaire par CFAO et la souplesse d’emploi des matériaux prothétiques offrent aux praticiens une grande flexibilité lors de la restauration d’une arcade édentée. Pour les cliniciens qui préfèrent une solution à sceller ou dans les cas où l’anatomie du tissu osseux exclut la pose d’une prothèse vissée, la restauration en zircone monolithique sur des piliers personnalisés excelle dans la restauration des dents, ainsi que des tissus durs et mous du patient totalement édenté.
Note de la rédaction : une liste des références est disponible auprès de l’éditeur.
Lorsqu’elle a été introduite pour la première fois en dentisterie restauratrice au début des années 2000, la zircone était un matériau opaque avec ...
HOFHEIM - La reconstruction de défauts osseux importants dans la mâchoire et la région du crâne après des blessures accidentelles ou des maladies ...
NOTTINGHAM, Royaume-Uni : Les articulations artificielles, les stents et les implants dentaires sont parmi les dispositifs les plus courants qui utilisent ...
AMMAN, Jordanie : Alors que l’intelligence artificielle continue d’étendre son rôle dans le domaine de la santé, les modèles de langage tels que ...
Le Dr Luis Carrière est l'inventeur du Carriere SLX Self-Ligating Bracket System et du Carriere Motion 3D Appliance. Il voyage à travers le monde pour ...
SYDNEY, Australie : Des recherches montrent que l’attractivité faciale peut influencer de manière significative les décisions sociales, notamment en ...
Les flux de travail numériques sont constamment améliorés grâce à des innovations dans les techniques, les logiciels et les matériaux, et ...
ALGER - Des médecins spécialistes ont mis en garde, lundi, contre les dangers du jeûne pour les personnes souffrant d'Hypertension artérielle (HTA) et ...
CHICAGO, ÉTATS-UNIS : L'American Association of Endodontists (AAE) a distillé ses livres blancs sur les normes de compétence et de traitement en ...
MADRID, Espagne : Avec le lancement de sa surface de pilier Xeal et de la surface d'implant TiUltra cette année, Nobel Biocare a récemment lancé l'ère ...
Webinaire en direct
mer.. 15 avril 2026
7:00 CET (Algiers)
Webinaire en direct
jeu.. 16 avril 2026
1:00 CET (Algiers)
Linda Hecker MS, BSDH, RDH
Webinaire en direct
jeu.. 16 avril 2026
5:00 CET (Algiers)
Dr. Pär-Olov Östman, Dr. Robert Gottlander DDS
Webinaire en direct
ven.. 17 avril 2026
5:00 CET (Algiers)
Webinaire en direct
ven.. 17 avril 2026
6:00 CET (Algiers)
Dr. Stuart Yeaton BDentSc, MOrth
Webinaire en direct
lun.. 20 avril 2026
6:00 CET (Algiers)
Dr. Alberto Monje DDS, MS, PhD
Webinaire en direct
mer.. 22 avril 2026
4:00 CET (Algiers)
MDT Andreas Chatzimpatzakis