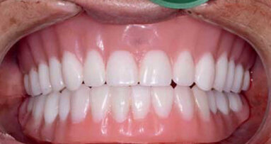
Lorsqu’elle a été introduite pour la première fois en dentisterie restauratrice au début des années 2000, la zircone était un matériau opaque avec une teinte peu naturelle. Vingt ans plus tard, les avancées technologiques et matérielles ont fait de la zircone une solution céramique ultra-esthétique et durable pour une multitude d’applications. La gamme KATANA™ Zirconia de Kuraray Noritake Dental montre cette direction et peut désormais être intégrée à chaque étape des traitements restaurateurs.
Les principales raisons de l’amélioration de la zircone comme matériau dentaire sont les innovations continues dans l’oxyde de zirconium sous forme de poudre constituant la base des disques. Tandis qu’une majorité de fabricants de zircone dentaire recourent à des fournisseurs extérieurs et ont peu de contrôle sur la provenance, les matériaux à base de zircone de Kuraray Noritake sont uniques car ils sont fabriqués à partir de processus internes et contrôlés de A à Z. De la propre technologie de poudre au pressage jusqu’au au pré-frittage de disques, la production de KATANA™ Zirconia mise tout sur une pureté et une qualité inégalée.
Une technologie multicouches
Parmi les quatre types de KATANA™ Zirconia, trois intègrent la technologie multicouches originale de Kuraray Noritake – UTML, STML et HTML. Cette structure innovante à quatre couches reproduit fidèlement la translucidité et les nuances de teintes de la dentition naturelle, pour un résultat final très esthétique. De plus, chacun des produits de la gamme KATANA™ Zirconia possède différentes propriétés mécaniques et translucides, ce qui permet à chaque clinicien de couvrir un large éventail de cas de restaurations dans les zones antérieures et postérieures.
Une gamme de zircone intégrée dans un système de produits
Grâce aux efforts déployés par Kuraray Noritake pour la recherche et le développement, la gamme KATANA™ Zirconia est intégrée dans un système complet de produits destinés au polissage, à la coloration-maquillage, au glaçage, à la stratification de la porcelaine et au collage afin de garantir des résultats exceptionnels.
CERABIEN™ ZR FC Paste Stain permet de personnaliser facilement les prothèses en zircone sur tout l’ensemble des couronnes. Disponible en 27 teintes différentes, elle offre une transparence facile à contrôler qui permet de créer des restaurations ultra-esthétiques.
Le nouveau KATANA™ Cleaner s’avère très utile lors du collage d’une restauration en zircone. Ce nettoyant universel non abrasif de Kuraray Noritake élimine les impuretés pour fournir aux patients la force d’adhésion qu’ils méritent. Contrairement aux autres nettoyants dentaires, il vous permet une utilisation à la fois intra-orale et extra-orale grâce à son pH relativement faible de 4,5.
Bien sûr, lorsqu’il procède au collage final de la restauration, le dentiste doit s’assurer que l’assemblage est à la fois fiable et durable. PANAVIA™ V5 est le matériau de collage le plus fiable de Kuraray Noritake jusqu’à présent. Il offre une simplicité et une prévisibilité d’utilisation sans précédents. Cette colle sans amines est disponible en cinq teintes différentes. Il a été scientifiquement prouvé qu’après durcissement, elle faisait preuve d’un niveau plus bas de variabilité chromatique que les colles à base d’amines. Pour un assemblage esthétique et stable, PANAVIA™ V5 est la meilleure option.
Il est clair qu’avec la gamme KATANA™ Zirconia et ces produits associés, Kuraray Noritake a imposé un système totalement intégré qui peut fonctionner pour la quasi-totalité des restaurations prothétiques.
KATANA™ Zirconia est la solution pour des restaurations durables sans métal.
Les patients touchés par la perte de leurs dents naturelles disposent aujourd’hui d’options de traitements plus variées que jamais. La prothèse ...
En début d'année, Kuraray Noritake Dental a convié les professionnels du secteur dentaire de toute l'Europe à un congrès à Berlin lors duquel les ...
Le 26 janvier, Kuraray Noritake Dental a invité des dentistes de toute l’Europe à un symposium consacré au KATANA™ Zirconia Block, le tout nouveau ...
Les flux de travail numériques sont constamment améliorés grâce à des innovations dans les techniques, les logiciels et les matériaux, et ...
Lorsque l’on scelle une restauration après l’ajustement d’essai, la force d’adhésion est souvent réduite à cause de la contamination de la ...
CHARLOTTE, États-Unis : Après le succès des éditions d’Athènes, en Grèce, en 2023 et de Miami, aux États-Unis, en 2024, le Implant Solutions World ...
NEW YORK, États-Unis : La quatrième réunion de haut niveau de l’Assemblée générale des Nations Unies (AGNU) sur la prévention et la maîtrise des ...
Une assemblée de professionnels dentaires internationaux du domaine de la dentisterie implantaire se réunira à Miami, aux États-Unis, à l’occasion du...
Le Dr Luis Carrière est l'inventeur du Carriere SLX Self-Ligating Bracket System et du Carriere Motion 3D Appliance. Il voyage à travers le monde pour ...
Vision 2030: Offrir une santé bucco-dentaire optimale pour tous est au cœur de la stratégie de plaidoyer de la FDI. Depuis son lancement en 2021, cette ...
À la demande
webinaire en ligne
Dr. Bruce McFarlane Certified Specialist in Orthodontics Fellow: Royal College of Dentists of Canada Diplomate: American Board of Orthodontics
Webinaire en direct
mer.. 15 avril 2026
7:00 CET (Algiers)
Webinaire en direct
jeu.. 16 avril 2026
1:00 CET (Algiers)
Linda Hecker MS, BSDH, RDH
Webinaire en direct
jeu.. 16 avril 2026
5:00 CET (Algiers)
Dr. Pär-Olov Östman, Dr. Robert Gottlander DDS
Webinaire en direct
ven.. 17 avril 2026
5:00 CET (Algiers)
Webinaire en direct
ven.. 17 avril 2026
6:00 CET (Algiers)
Dr. Stuart Yeaton BDentSc, MOrth
Webinaire en direct
lun.. 20 avril 2026
6:00 CET (Algiers)
Dr. Alberto Monje DDS, MS, PhD
To post a reply please login or register