CHARLOTTE, États-Unis : Après le succès des éditions d’Athènes, en Grèce, en 2023 et de Miami, aux États-Unis, en 2024, le Implant Solutions World Summit qui se tiendra du 25 au 27 juin 2026 à Göteborg, en Suède , marquera un nouveau chapitre important à Göteborg, berceau de l’ostéointégration et pôle d’innovation scientifique et technologique. Ce cadre inspirant permettra aux professionnels dentaires d’explorer et de participer à l’avenir de la dentisterie implantaire.
« Nous sommes ravis d'accueillir la communauté mondiale de l’implantologie à Göteborg en 2026, une ville profondément ancrée dans l'histoire et l'évolution de la dentisterie implantaire », a déclaré Rodrigo Canelhas, vice-président du groupe Implants et solutions prothétiques chez Dentsply Sirona. « Le Implant Solutions World Summit est un lieu où convergent les idées, l'expérience et l'inspiration. Cet événement sera une occasion unique d’échanger, de découvrir les dernières avancées cliniques et de rencontrer des experts qui façonnent l’avenir des traitements implantaires. »
L'Implant Solutions World Summit réunira des cliniciens, des chercheurs et des leaders du secteur pendant trois jours pour proposer une formation de haut niveau, des expériences interactives et favoriser la création d'une communauté. Du digital aux techniques chirurgicales avancées et solutions prothétiques, le programme offrira des perspectives cliniques concrètes et des stratégies pratiques pour optimiser la prise en charge des patients.
Pour recevoir des informations ou vous inscrire, cliquez ici.
Mots-clés:
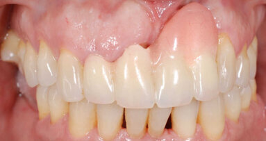
D'un point de vue esthétique, un implant mal positionné, surtout dans la région antérieure, entraîne inévitablement un défaut dans le traîtement ...
Septodont a annoncé la signature d'un accord pour l'acquisition de quatre marques de soins dentaires auprès de Sanofi. Le portefeuille acquis comprend ...
WASHINGTON, NOUS : Danaher Corporation a annoncé qu'Envista Holdings Corporation sera le nom de la société distincte qu'elle compte introduire en bourse ...
La Fédération dentaire internationale (FDI) a annoncé le programme très attendu du World Dental Congress 2024 (Congrès dentaire mondial 2024 – ...
Consideré comme cancérigène pour l'homme, le dioxyde de titane sera interdit dans les denrées alimentaires dès 2020.
Une assemblée de professionnels dentaires internationaux du domaine de la dentisterie implantaire se réunira à Miami, aux États-Unis, à l’occasion du...
BENSHEIM, Allemagne : Dentsply Sirona a lancé Primescan 2, un scanner intra-oral de nouvelle génération qui ouvre une nouvelle ère de soins ...
Le Dr Luis Carrière est l'inventeur du Carriere SLX Self-Ligating Bracket System et du Carriere Motion 3D Appliance. Il voyage à travers le monde pour ...
Lorsqu’elle a été introduite pour la première fois en dentisterie restauratrice au début des années 2000, la zircone était un matériau opaque avec ...
Le préjugé est un aspect intrinsèque de la cognition humaine, et les professionnels de santé — y compris ceux du secteur dentaire — n’en sont pas ...
À la demande
webinaire en ligne
Dr. Bruce McFarlane Certified Specialist in Orthodontics Fellow: Royal College of Dentists of Canada Diplomate: American Board of Orthodontics
Webinaire en direct
mer.. 15 avril 2026
7:00 CET (Algiers)
Webinaire en direct
jeu.. 16 avril 2026
1:00 CET (Algiers)
Linda Hecker MS, BSDH, RDH
Webinaire en direct
jeu.. 16 avril 2026
5:00 CET (Algiers)
Dr. Pär-Olov Östman, Dr. Robert Gottlander DDS
Webinaire en direct
ven.. 17 avril 2026
5:00 CET (Algiers)
Webinaire en direct
ven.. 17 avril 2026
6:00 CET (Algiers)
Dr. Stuart Yeaton BDentSc, MOrth
Webinaire en direct
lun.. 20 avril 2026
6:00 CET (Algiers)
Dr. Alberto Monje DDS, MS, PhD
To post a reply please login or register