D'un point de vue esthétique, un implant mal positionné, surtout dans la région antérieure, entraîne inévitablement un défaut dans le traîtement prothétique. Comme l'esthétique est une exigence primordiale, cette erreur peut être évitée par une bonne planification de l'intervention.
L'examen clinique ne se limite donc pas à l'étude des modèles montés dans l'articulateur, le wax-up diagnostique, les images radiographiques (OPT, TAC) et l'utilisation de guides chirurgicaux sont importants. Jusqu'à récemment, le retrait d'un implant entraînait une perte importante de tissu osseux et la nécessité de procéder à une greffe osseuse. Cependant, les progrès technologiques ont conduit à la mise au point d'outils qui facilitent le retrait des implants par des procédures simples et conservatrices. Les greffes de gencive libre pour augmenter la bande de tissu kératinisée ont été décrites pour la première fois dans la littérature parodontale en 1963 par Bjorn et en 1966 par Nabers. Le site idéal pour le prélèvement se situe au niveau du palais dur entre la partie adipeuse et la partie riche en tissu glandulaire, approximativement dans la zone prémolaire. L'immobilisation du greffon est une condition nécessaire à la survie du greffon, et il est également essentiel qu'il y ait un contact intime entre le greffon et le lit receveur, car l'interposition séreuse interrompt le soutien nutritionnel et cause la nécrose du greffon.
Matériels et méthodes
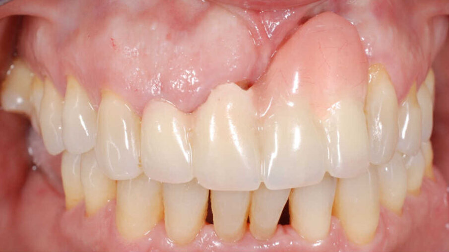
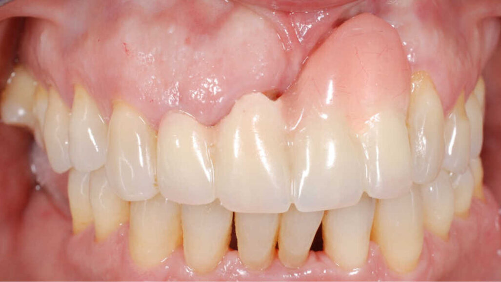
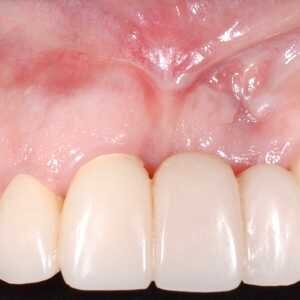
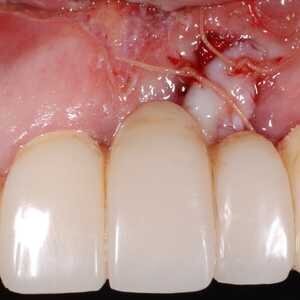
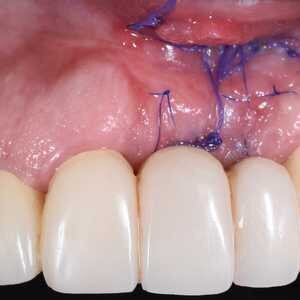
Dans cet article, nous présentons un cas clinique qui montre comment une mauvaise mise en place d'un implant peut rendre impossible la réhabilitation prothétique, ce qui nécessite une nouvelle planification chirurgicale et de réhabilitation pour obtenir l'esthétique souhaitée. Le patient se présente à notre observation avec une réhabilitation prothétique incongrue, avec bride en résine, support dentaire et implantaire, avec la présence d'un implant en position 2.1 vestibulaire et avec l'émergence dans le fornix, dans la mucosa alvéolaire. L'évaluation de la tomodensitométrie montre la position incorrecte de l'implant et la perte constante dans le sens transversal de la structure osseuse (Figs. 1, 2). Par conséquent, le plan de traitement suivant a été choisi : retrait de l'implant et préparation prothétique de l'élément 2.3, fabrication d'un premier support dentaire temporaire pour guider la cicatrisation des tissus (Figs. 3-7). Après 4 mois, une greffe d'épithélium conjonctif libre est réalisée avec ablation du palais pour compenser l'espace transversal des tissus mous, puis le provisoire est remodelé afin de faciliter la cicatrisation des tissus (Figures 8-11). Après 9 mois de maturation des tissus, la finalisation prothétique fixe avec support dentaire est réalisée (Figs. 12-14).
Conclusion
Quelle qu'en soit la cause, lorsqu'un implant n'est pas bien placé, la réhabilitation prothétique peut ne pas être adéquate sur les plans mécanique, fonctionnel et esthétique. Dans le cas présenté ici, le retrait de l'implant et une nouvelle planification chirurgicale et prothétique étaient nécessaires. Malgré les limites esthétiques de la réhabilitation prothétique initiale, considérant qu'aucune greffe osseuse n'a été réalisée sans réinsertion de l'implant, mais avec une bonne gestion des tissus mous, un résultat esthétique valide et prévisible a été obtenu avec le temps.
Bibliographie
- Buser D., Martin W., Belser U. C. Optimizing esthetics for implant restorations in the anterior maxilla: anatomic and surgical considerations. International Journal of Oral & Maxillofacial Implants. 2004;19(7):43–61.
- Moráguez O. D., Vailati F., Belser U. C. Malpositioned implants in the anterior maxilla: a novel restorative approach to reestablish peri-implant tissue health and acceptable esthetics. Part II: case report and discussion. Journal of Esthetic Dentistry. 2015;10(4):522–533.
- Jivraj S., Chee W. Treatment planning of implants in the aesthetic zone. British Dental Journal. 2006;201(2):77–89. doi: 10.1038/sj.bdj.4813820.
- Stajčič Z., Stojčev Stajčić L. J., Kalanović M., Đinić A., Divekar N., Rodić M. Removal of dental implants: review of five different techniques. International Journal of Oral & Maxillofacial Surgery. 2016;45(5):641–648. doi: 10.1016/j.ijom.2015.11.003.
- Kim Y., Kim B., Lee H., Hwang J., Yun P. Surgical repositioning of an unrestorable implant using a trephine bur: a case report. International Journal of Periodontics & Restorative Dentistry. 2010;30(2):181–185.
- Jung S.-R., Bashutski J. D., Linebaugh M. L. Application of modified bony lid technique to remove or replace compromised implants: case series. Implant Dentistry. 2013;22(3):206–211. doi: 10.1097/ID. 0b013e31828edced.
- Rumfola J. L., Andreana S., Colucci L., Tsay Y. Restoring unfavorably positioned implants in anterior maxilla: case report. New York State Dental Journal. 2013;79(5):40–44.
- Li C. H., Chou C. T. Bone sparing implant removal without trephine via internal separation of the titanium body with a carbide bur. International Journal of Oral & Maxillofacial Surgery. 2014;43(2):248–250. doi: 10.1016/j.ijom.2013.09.010.
- De Sanctis M., Clementini M.. Flap approaches in plastic periodontal and implant surgery: critical elements in design and execution. J Clin Periodontol. 2014 Apr;41 Suppl 15:S108-22. doi: 10.1111/jcpe.12189. Review.
L'article a été publié dans Implant Tribune Italian Edition n. 3/19.
Le Dr Giovanni Zucchelli est professeur à l'Université de Bologne en Italie et président élu de l'Académie italienne d'ostéointégration. Il est ...
PHILADELPHIE, États-Unis : La maladie parodontale touche près de 60 % des adultes de plus de 65 ans et représente un fardeau considérable — sur les ...
Selon la définition de l’IASP (International Association for the Study of Pain – Association internationale pour l’étude de la douleur), la douleur ...
CHARLOTTE, États-Unis : Après le succès des éditions d’Athènes, en Grèce, en 2023 et de Miami, aux États-Unis, en 2024, le Implant Solutions World ...
ŌTSU, Japon : Dans la plus grande étude de ce type, des chercheurs japonais ont analysé le contrôle de la glycémie et la perte des dents naturelles ...
Comme nous le savons tous, la dentisterie se consacre à la compréhension du fonctionnement de la cavité buccale, de la relation maxillomandibulaire, de ...
SÃO PAULO, Brésil : La respiration buccale affecte environ la moitié de la population et peut entraîner une halitose, une condition associée à des ...
NEW YORK, États-Unis : La quatrième réunion de haut niveau de l’Assemblée générale des Nations Unies (AGNU) sur la prévention et la maîtrise des ...
BERLIN, Allemagne : Pour certains animaux, la perte de dents n’est pas toujours un problème : les dents des requins et celles les crocodiles se ...
CHICAGO, ÉTATS-UNIS - L’hydroxyapatite est un composant important des tissus durs. L’émail, par exemple, présente la plus forte concentration de ce ...
Webinaire en direct
dim.. 3 mai 2026
5:00 CET (Algiers)
Dr. Rickard Brånemark MSc, MD, PhD, Dr. Robert Gottlander DDS
Webinaire en direct
lun.. 4 mai 2026
1:00 CET (Algiers)
Webinaire en direct
mar.. 5 mai 2026
3:00 CET (Algiers)
Webinaire en direct
mar.. 5 mai 2026
5:00 CET (Algiers)
Webinaire en direct
mar.. 5 mai 2026
6:00 CET (Algiers)
Dr. Maximilian Dobbertin M.Sc
Webinaire en direct
mar.. 5 mai 2026
8:00 CET (Algiers)
Webinaire en direct
mer.. 6 mai 2026
6:00 CET (Algiers)