Résumé
Les maladies parodontales (gingivites et parodontites) peuvent expliquer la survenue de certaines complications de la grossesse. La maladie parodontale représente une source de bactéries et de médiateurs pro-inflammatoires pouvant atteindre l’unité fœto-placaintaire via la voie hématogène. Un lien significatif et indépendant est aujourd’hui établi expliquant la physiopathologie entre les lésions parodontales et les complications de la grossesse.
Introduction
Miller, en 1891, a publié pour la première fois « la théorie de l’infection focale ». Il a décrit la cavité buccale comme l’un des sites d’inflammation qui peuvent contribuer ou favoriser ou même initier une maladie dans d’autres organes [1].
Les maladies parodontales (MP) sont des pathologies inflammatoires touchant la gencive et le système d’attache des dents. Les MP se développent par un processus inflammatoire en réponse à la flore microbienne (biofilm) de la cavité buccale [2,3]. Les femmes enceintes sont susceptibles aux gingivites du fait des variations hormonales[2, 3, 4]., ces dernières fragilisent les tissus parodontaux, augmentent la réaction inflammatoire de la gencive, diminuent l’efficacité du système de défense immunitaire face aux bactéries en altérant la qualité de la gencive et augmentent le risque de progression d’une gingivite en parodontite ; cela souligne l’importance de la prévention [3] des gingivites gravidiques (cf. infra)
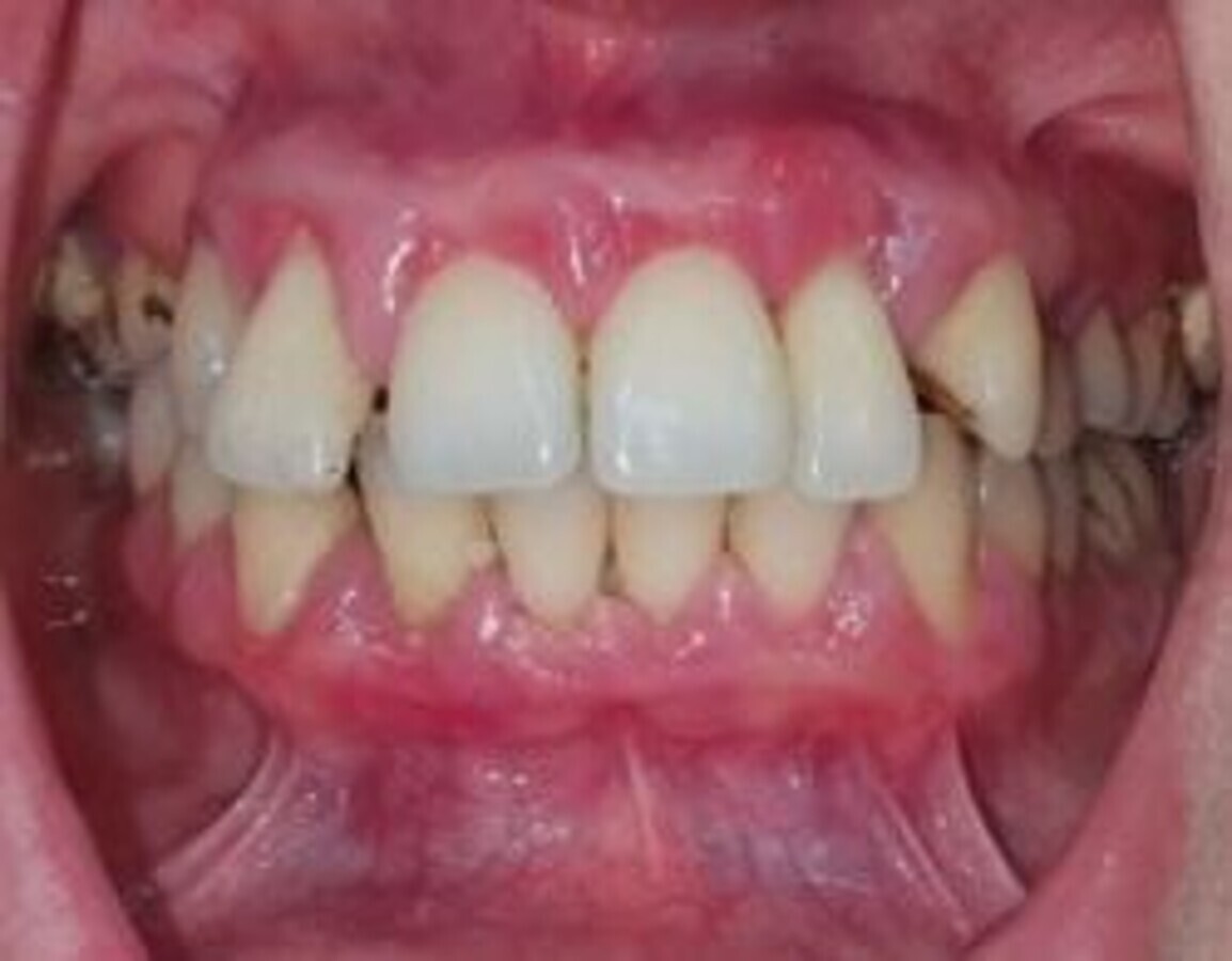
Fig. 1 : Influence des hormones sur le parodonte : gingivite chez une femme au sixième mois de grossesse noter la gencive rouge, volume augmenté et épulis entre La 22 et la 23
Lorsque la gingivite n’est pas traitée, le processus inflammatoire peut se développer en profondeur et
provoquer la destruction du système d’attache des dents avec apparition de poches parodontales et
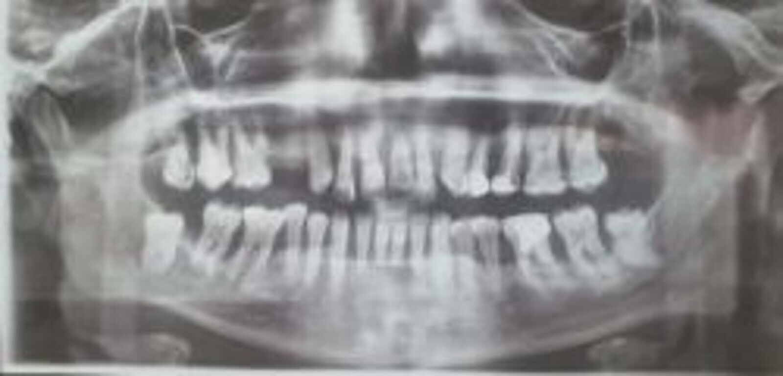
perte osseuse objectivable sur la radiographie [Fig 2 ,3]
Fig. 2 : Parodontite chez une femme enceinte de 7 mois, noter l’inflammation gingivale, l’augmentation de volume gingival, formation de poches parodontales et perte d’attache.
Fig. 3 : Radiographie panoramique de la même patiente qui objective les lyses osseuses généralisées.
Au cours de la grossesse des complications peuvent parfois apparaitre :
Naissance avant terme (accouchement prématuré avant 37 semaines de gestation (OMS) [2]) ;
Naissance de faible poids [1, 2] poids de naissance inférieur à 2500 g (OMS) ;
Pré-éclampsie : dite aussi toxémie gravidique [1] ou gestose hypertensive [1]. Elle se définit comme suit [1]:
Développement d’une hypertension artérielle (systolique 140 mm Hg ou diastolique 90 mm Hg) après 20 semaines de grossesse, et au moins une ou plusieurs des manifestations suivantes :
Protéinurie ;
Troubles organiques fonctionnels ;
Trouble fonctionnel de l’unité fœto-placentaire. (Société internationale pour l’étude de l’hypertension pendant la grossesse ISSHP. 2014).
Avortement spontané [2, 3];
Mort in utéro [2, 3].
Certaines de ces complications surviennent en même temps [2, 3].
Depuis deux décennies, on se préoccupe en parodontologie de l’influence de la maladie parodontale sur la grossesse [1, 3] et aujourd’hui il est établi qu’il existe un lien significatif et indépendant entre maladie parodontale et accouchement prématuré, pré-éclampsie et / ou retard de croissance intra-utérine [2
C’est quoi ce lien ?
Au cours de la grossesse, la parodontite représente une source de bactéries et de médiateurs inflammatoires pouvant passer dans la circulation sanguine [2]. Les voies infectieuses et inflammatoires impliquées dans le lien en maladie parodontale et complication de grossesse sont au nombre de quatre (Fig. 4) : deux voies directes et deux voies indirectes [1] (SANZ ET COLL. 2013).
Fig. 4 : physiopathologie entre lésions parodontales et complications de la grossesse [1, 2, 3]
L’une des voies directes est l’ascension des bactéries, via le vagin et le col de l’utérus, dans la cavité utérine et les membranes placentaires (infections urogénitales considérées comme les causes les plus connues de prématurité (40- 50 °/°). Les infections des voies urinaires contribuent également à la réponse inflammatoire systémique lors de pré éclampsie) [1].
L’autre voie directe est la propagation hématogène des bactéries à partir de la cavité buccale [1, 2,3] ; lors de l’infection parodontale, les bactéries anaérobies gram-négatif atteignent les vaisseaux via l’épithélium de la poche et peuvent pénétrer dans l’unité fœto-placentaire [1] l’agent pathogène parodontal porphyromonas gingivalis (Pg) a pu être détecté [5] en concentration accrue dans le placenta des femmes enceintes présentant des naissances prématurées imminente [1] de même chez les femmes atteintes de parodontite et ayant présenté une pré éclampsie , il a été possible de mettre en évidence porphyromonas gingivaliset Treponema denticolas dans le tissu placentaire (CHAPARRO ET COLL. 2013).
Deux voies indirects peuvent être discutées [1] A cet égard, les médiateurs pro-inflammatoires (prostaglandines, interleukines, TNH alpha…) produits par le corps jouent un rôle décisif.
D’une part, en raison de l’infection orale, davantage de médiateurs pro-inflammations locaux sont excrétés, et ceux-ci peuvent atteindre ensuite l’unité fœto-placentaire par voie hématogène.
Et d’autre part, les bactéries et leurs produits toxiques peuvent parvenir dans le foie par voie hématologique et provoque ainsi une libération accrue de médiateurs pro-inflammatoire [1].
La concentration accrue d’interleukine-1B (IL-1B) et de facteur de nécrose tumoral (TNF-alpha) peut entrainer une augmentation de la synthèse de prostaglandines. En cas de grossesse, cela peut entrainer des contractions musculaires de l’utérus, une dilatation du cervicale et une rupture amniotique prématurée (OFFENBACHER ET COLL. 1996 ; PIZZO ET COLL. 2010).
Il a été montré, chez les femmes enceintes atteintes de parodontite et de pré éclampsie, que le taux sérique de TNF-alpha était supérieur, de façon statistiquement significative, à celui de femmes présentant une bonne hygiène buccale et une pré éclampsie (KUMMAR ET COLL 2014) [1].
Quels conseils donnés à la femme enceinte ?
La patiente désireuse de mener une grossesse doit consulter un dentiste ou, mieux, un parodontiste, afin qu’elle commence sa grossesse sans pathologie parodontale, et vérifier ses mesures d’hygiène buccodentaires et engager un traitement si nécessaire [2, 3]. Il faut savoir que les soins bucco-dentaires peuvent être réalisés de préférence au cours du deuxième trimestre pour les soins non urgents [2].
Conclusion
Les femmes enceintes devraient être informées de l’importance de la santé buccodentaire et du tableau clinique caractéristique de la maladie parodontale. En conséquence, la concertation interdisciplinaire et la coopération des médecin-dentiste et des gynécologues est une nécessité incontournable.
Références bibliographiques
[1]. J. OPACI, A. MALDONADO, C. A. RAMSEIER, O. LAUGISH. Influence de la parodontiste sur la grossesse et l’accouchement. SWISS DENTAL JOURNAL SSO VOL.129 7/8 2019.
[2]. Grossesse et maladie parodontale, point de vue de la Société Française de Parodontologie et dIimplantologie Orale SFPIO.
[3]. B. LANG, M.L. COLOMBIER. Grossesse et maladie parodontale. La lettre du Gyn2coloque. N° 401-Mars-avril 2016.
[4]. GN. GÜNCÜ, TF. TÖZÜM, F. ÇAGLAYAN. Effects of endogenous sex hormones on the periodontium –Review of literature. Australian Dental Journal 2005;50:(3):138-145.
[5]. J. KATZ, N. CHEGINI, K.T. SHIVERICK AND R.J. LAMONT. Localization of P. gingivalis in Preterm Delivery Placenta. J Dent Res 88(6):575-578, 2009.
PHILADELPHIE, États-Unis : La maladie parodontale touche près de 60 % des adultes de plus de 65 ans et représente un fardeau considérable — sur les ...
SENDAI, Japon : Des chercheurs de l'université de Tohoku, au Japon, ont découvert que la santé mentale de la mère peut jouer un rôle important dans ...
TOKYO, Japon : Des recherches approfondies montrent que Porphyromonas gingivalis est lié à l’origine et à la progression des maladies parodontales. ...
CHICAGO, ÉTATS-UNIS - L’hydroxyapatite est un composant important des tissus durs. L’émail, par exemple, présente la plus forte concentration de ce ...
SYDNEY, Australie : Des recherches montrent que l’attractivité faciale peut influencer de manière significative les décisions sociales, notamment en ...
IRVINE, Californie, États-Unis.. : BIOLASE, le leader mondial des lasers dentaires, a récemment accueilli son premier symposium sur l'avancement de la ...
Éducation
Webinaire en direct jeu.. 14 mai 2026 5:00 CET (Algiers)
CHENGDU, Chine : Le développement des racines dentaires dépend de voies de communication cellulaire précises. Des chercheurs chinois ont montré comment ...
BRUXELLES, Belgium: Quel rapport existe-t-il entre des gencives saines, la santé cardiovasculaire, le diabète et le bien-être au quotidien ? Un rapport...
BRUXELLES, Belgique : À l’occasion de son dixième anniversaire, l’European Aligner Society (EAS) a réuni à Bruxelles des cliniciens, des innovateurs...
To post a reply please login or register