Selon les auteurs, le processus de planification du traitement exige l'inclusion d'une myriade de données relatives à l'état de la structure dentaire et radiculaire. (Image : santypan/Shutterstock)
Les innovations et les itérations incessantes dans les technologies et les matériaux dentaires ont porté la sophistication des modalités de traitement à un niveau historique. Cependant, lorsque nous nous concentrons sur la nouveauté, le frisson du résultat, nous ne prêtons pas attention au but de l’activité. Les implants dentaires en sont un bon exemple. Celles-ci étaient initialement considérées comme l’étalon-or pour le remplacement de dents compromises malgré les rapports selon lesquels les thérapies endodontiques garantissaient une fonctionnalité au fil du temps dans une fourchette de 91% à 97%. 1 La nouveauté a été ternie par des rapports selon lesquels la péri-implantite et la péri-mucosite affichaient un taux de prévalence moyen pondéré de 43 % en Europe et de 22 % en Amérique du Sud et du Nord. 2
Une myriade de facteurs influence l'initiation et la progression de la maladie péri-implantaire ; malheureusement, le traitement de la maladie péri-implantaire est au mieux favorable à court terme, la maladie ayant un taux élevé d'inflammation persistante et de récidive. 3 Une étude de Guarnieri et al. ont montré que la thérapie parodontale active chez les patients parodontaux chroniques suivie d'un entretien parodontal régulier à long terme réussissait à conserver la majorité des dents parodontales compromises. 4 Chez les mêmes patients, une tendance plus élevée à la perte d'implants qu'à la perte de dents a été constatée. La série de rapports de cas présentés dans cet article fournira des catégories de guide de décision pour les meilleures pratiques qui facilitent la rétention des dents compromises à l'aide de thérapies endodontiques.
Rapport de cas 1 : CBCT en endodontie
L'avantage le plus important du CBCT en endodontie est peut-être qu'il démontre des caractéristiques anatomiques en 3D que les images intra-orales, panoramiques et céphalométriques ne peuvent pas. De plus, comme la reconstruction des données CBCT est effectuée nativement à l'aide d'un ordinateur personnel, les données peuvent être réorientées dans de véritables relations spatiales. 5
En octobre 2015, un patient de sexe masculin de 55 ans, précédemment vu pour un traitement au cabinet, s'est auto-référé pour un deuxième avis concernant l'extraction recommandée d'une dent suspectée fracturée dans le quadrant maxillaire droit. Il a signalé qu'un léger gonflement était devenu apparent au cours de la semaine dernière. L'examen clinique a noté un gonflement fluctuant entre la dent n ° 15 et la dent n ° 14, et un défaut de sondage de 12 mm a été détecté le long de l'angle de la ligne mésiobuccale de la dent n ° 15.
Le patient a fourni une radiographie périapicale montrant une radioclarté périradiculaire mésio-proximale associée à la dent #15 (Fig. 1). La coupe sagittale du volume CBCT (Carestream CS 9000, Carestream Dental) montrait l'étendue de la lésion (Fig. 2). Dans la précédente thérapie radiculaire, seul le canal buccal avait été détecté et traité. La coupe axiale montrait un canal palatin non traité (Fig. 3) . Un tenon fibré placé dans le canal buccal avait été utilisé pour retenir le noyau. Le patient a été informé que la broche d'ancrage mal orientée s'étendait dans le ligament parodontal. Avec l'accord du patient, il a été décidé de traiter sélectivement le canal palatin.
Après une période intermédiaire de traitement à l'hydroxyde de calcium de six semaines (UltraCal XS, Ultradent ; Figs. 4 & 5), 6 l'espace canalaire a été obturé à l'aide d'une technique de condensation verticale chaude. 7 Le matériel d'obturation a été exprimé dans une porte de sortie ramifiée latérale (Fig. 6). Le suivi de quatre ans a montré une résolution de la lésion latérale (Figs. 7–9). La présomption initiale d'une racine fracturée s'est avérée fausse, ce qui suggère que le diagnostic d'affections basé sur une acquisition de données insuffisante n'est pas fiable. L'utilisation du CBCT est un impératif dans les procédures endodontiques de toute nature, à condition que les principes ALARA (aussi bas que raisonnablement réalisable) concernant la dose de rayonnement soient suivis.
Cas 1—Fig. 1 : Une zone de raréfaction périradiculaire était évidente le long de la face mésio-proximale de la dent #15. Un traitement antérieur du canal radiculaire et un tenon et un noyau retenus par une broche supportant une couronne en zircone ont été notés. Fig. 2 : La coupe sagittale du volume CBCT montrait la lésion latérale s'étendant jusqu'à la crête alvéolaire. Fig. 3 : La coupe axiale du volume CBCT montre l'étendue de la raréfaction adjacente à la face mésiale de la racine et la présence d'un canal palatin non traité. Fig. 4 : Un traitement sélectif du canal palatin a été réalisé. De l'hydroxyde de calcium a été inséré dans l'espace canalaire. Fig. 5 : L'extrusion du médicament provisoire à base d'hydroxyde de calcium à travers la zone sulculaire de la dent n° 15 était évidente. Fig. 6 : Une branche latérale de l'espace canalaire contenant le matériau d'obturation sortait dans l'interface des tiers moyen et apical de la racine. Fig. 7 : Une radiographie périapicale prise quatre ans après le traitement a montré une régénération osseuse et la reformation du ligament parodontal. Fig. 8 : La coupe coronale du volume CBCT montrait la radiotransparence périradiculaire préopératoire. Fig. 9 : La coupe coronale du volume CBCT prise quatre ans après le traitement a montré la résolution de la radiotransparence périradiculaire.
Rapport de cas 2 : Amputation radiculaire (lésion parodontale et endodontique)
La résection radiculaire est une option de traitement pour les molaires présentant une atteinte avancée de la furcation. Dans une étude de Derks et al., les molaires mandibulaires après résection radiculaire ont montré une probabilité de survie de près de 80 % même 20 ans plus tard. 8
En octobre 1998, un homme de 39 ans s'est présenté au cabinet en se plaignant d'une sensibilité gingivale dans le quadrant mandibulaire droit. Une perte osseuse importante a été notée interproximalement entre la dent #47 et la dent #46 ; cependant, l'état parodontal de la dentition en général était dans les limites normales. Les tests de sensibilité pulpaire des dents dans le quadrant mandibulaire droit ont identifié la pulpe de la dent n° 46 comme étant nécrotique (Fig. 10). Il a été expliqué au patient que le traitement des lésions parodontales et endodontiques était en général défavorable et que le succès dépendait de la sévérité de la perte osseuse, de la longueur du tronc radiculaire, du degré de séparation radiculaire, de la courbure de la racine à réséquer, de la capacité à éradiquer la défaut, l'état pulpaire et les procédures de restauration et d'hygiène buccale requises.
Avec le consentement du patient, la racine distale de la dent n° 46 a été réséquée et la couronne sus-jacente a été conservée (Fig. 11). À un moment donné après la procédure d'amputation, le dentiste référent a attelé les dents n° 47 et 46 avec un pont en composite et en ruban. Vingt-deux ans après la procédure initiale, la régénération osseuse et la cortication dans la région furcale étaient évidentes entre les dents #47 et 46 (Fig. 12).
Les progrès dans les stratégies de maintien des dents compromises, de concert avec une meilleure compréhension des facteurs de risque associés aux implants dentaires, invitent à réévaluer les avantages de l'extraction stratégique d'une dent au pronostic douteux ou d'une valeur stratégique limitée. 9 Avec l'utilisation de procédures d'augmentation des tissus durs et mous, de fibrine riche en plaquettes, de la conception de lambeaux mini-invasifs et de techniques de suture en conjonction avec des microscopes opératoires chirurgicaux, il est déraisonnable de sacrifier une dent pour un implant lorsque cette vénérable option de traitement s'avère favorable. pronostic et taux de réussite. dix
Cas 2—fig. 10 : La perte osseuse entre la dent #47 et la dent #46 et la perte du ligament parodontal autour de la région apicale des racines mésiales et distales étaient évidentes. Fig. 11 : Après résection de la racine distale, le degré de perte osseuse semble avoir augmenté. Fig. 12 : Un suivi de 22 ans a montré une régénération de l'os interproximal perdu et une cortication de la crête alvéolaire.
Rapport de cas 3 : Défaut de résorption
La résorption interne progressive ou les cas avec perforations de la racine peuvent être distingués de la résorption externe par des techniques radiographiques variées. Dans les dents avec résorption interne, la lésion radiotransparente se déplace avec le canal lorsque les radiographies sont prises sous des angles différents, alors qu'en résorption externe la lésion radiotransparente se déplace à l'extérieur du canal. 11, 12
En mars 1999, une patiente de 47 ans s'est présentée au cabinet avec un gonflement du visage et la dent n° 11 était sensible à la percussion. Une radiographie périapicale du sextant antérieur maxillaire a montré de grandes restaurations de classe III et IV. La dent #11 présentait une raréfaction périapicale. La dent #21 a montré une résorption interne au niveau de la racine médiane (Fig. 13). Le patient a rapporté que la dent #21 avait été traumatisée quelque 35 ans auparavant. En l'absence d'imagerie CBCT, il a été supposé que la résorption avait perforé la face faciale de la racine et perturbé l'os cortical sus-jacent.
Les tests de sensibilité pulpaire des dents antérieures ont déterminé que la dent n° 11 était dépulpée. La dent a été traitée par endodontie et obturée à l'aide d'une technique de condensation verticale chaude. La dent n° 21 a été instrumentée au niveau incisif du défaut de résorption et le canal a été scellé avec un agrégat de trioxyde minéral blanc (Fig. 14). 13 Si la dent devait être traitée aujourd'hui, le choix du matériau d'obturation serait le mastic EndoSequence BC (Brasseler). Actuellement, il existe une tendance à l'utilisation d'une approche injectable de régénération de la fibrine riche en plaquettes pour résoudre les défauts de résorption interne qui présente un grand potentiel de guérison à long terme. 14Le suivi après 21 ans a montré que la radiotransparence périradiculaire associée à la dent n° 11 avait disparu et que le défaut de résorption avait été réduit en taille (Figs. 15 & 16).
Cas 3—fig. 13 : La radiographie intra-orale périapicale a révélé une radioclarté périradiculaire à l'apex radiculaire de la dent #11. Une grande zone de résorption interne était évidente au milieu de la racine de la dent #21. La résorption avait perforé la face latérale de la racine, provoquant une rupture de l'os interproximal. Fig. 14 : Une radiographie post-opératoire montre le traitement endodontique de la dent #11. La dent n° 21 a été scellée avec un agrégat de trioxyde minéral blanc jusqu'au niveau incisif du défaut de résorption, car elle a démontré une décoloration minimale des racines. Fig. 15 : La radiotransparence périradiculaire associée à la dent n° 11 a disparu. Le défaut de résorption a été réduit et des dépôts radiotransparents étaient évidents dans la crypte de résorption. Fig. 16 : La coupe sagittale du volume CBCT a montré une plaque corticale intacte.
Rapport de cas 4 : Dent fissurée
Dans une étude de 2 086 dents fissurées par Krell et Caplan, 15 les dents les plus courantes présentant une fracture étaient les deuxièmes molaires mandibulaires (36 %), suivies des premières molaires mandibulaires (27 %) et des premières molaires maxillaires (18 %). Il n'y avait aucune différence statistiquement significative dans le succès du traitement en fonction du diagnostic pulpaire (pulpite irréversible, 85 % ; nécrose 80 % ; déjà traité, 74 %), l'âge ou le sexe des patients, l'année de traitement, le type de dent, le matériau de restauration ou le nombre de dents restaurées. surfaces au moment de l'examen.
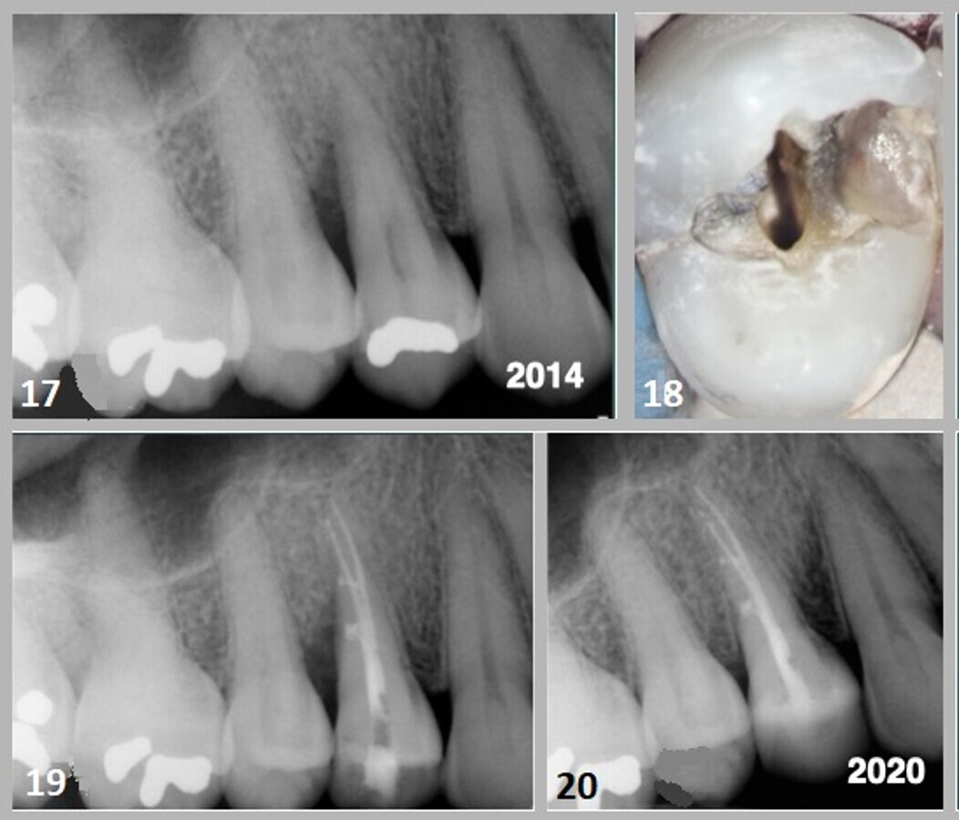
En juillet 2014, une patiente de 45 ans s'est présentée au cabinet avec comme principale plainte un gonflement de la papille distale de la dent n° 14 pendant une période de dix jours. L'examen clinique a révélé une restauration d'amalgame occlusal avec une couture palpable dans la crête marginale distale. Les profondeurs de sondage le long des angles des lignes distobuccale et linguale de la dent ont démontré une poche infra-osseuse de 8 mm. La radiographie périapicale a montré une petite restauration d'amalgame avec une radioclarté verticalement angulée interproximale entre la dent #14 et la dent #15. Une ligne de fracture s'étendant dans la crête marginale mésiale a été identifiée (Figs. 17 & 18). La vitalité de la dent a été évaluée avec des tests de pulpe thermiques et électriques, qui n'ont suscité aucune réponse.
Les options de traitement ont été expliquées au patient : (1) extraction et restauration avec un pont fixe à trois éléments ; (2) extraction, augmentation des tissus mous et durs et restauration implanto-portée ; ou (3) traitement de canal et restauration avec protection des cuspides. Le patient a été informé que la troisième option avait un pronostic douteux ; toutefois, pour des raisons financières, elle a choisi d'opter pour cette option. Il convient de noter que la prise en charge du syndrome de la dent fissurée varie en fonction de la gravité des symptômes et de la profondeur de la structure dentaire impliquée.
Le traitement endodontique a été réalisé en utilisant une technique de condensation verticale chaude (Fig. 19). La préparation d'accès a été scellée avec une restauration en composite fluide et hybride à l'aide du système Bioclear Matrix développé par le Dr David Clark. La radiographie prise au recul de six ans (2020) montrait une régénération osseuse dans la zone interproximale, qui avait éliminé le défaut parodontal (Fig. 20).
Cas 4—Fig. 17 : Un défaut infraosseux de 8 mm était évident le long de la face proximale distale de la racine de la dent #15. Fig. 18 : Des débris présents dans la crête marginale distale de la dent n° 14 ont montré une ligne de fracture ; cependant, il n'y avait aucune indication de séparation cuspidienne. Le retrait de l'amalgame a révélé l'extension de la fracture dans le plan de contrainte cuspidienne de l'angle vestibulaire et axial. Fig. 19 : L'espace canalaire a été obturé à l'aide d'une technique de condensation verticale chaude. Des branches latérales du système canalaire ont été notées. Fig. 20 : Une radiographie périapicale post-opératoire prise en 2020 a montré une régénération osseuse et une reformation du ligament parodontal dans le défaut sous-osseux le long de la face distale de la racine
Fig. 21 : Une radiographie périapicale post-opératoire prise en 2020 a montré une régénération osseuse et une reformation du ligament parodontal dans le défaut sous-osseux le long de la face distale de la racine.
Conclusion
Le processus de planification du traitement exige l'inclusion d'une myriade de données relatives à l'état de la structure dentaire et radiculaire. Le guide de décision de l'American Association of Endodontists encourage le clinicien à prendre en compte les problèmes locaux et systémiques spécifiques au cas, l'économie, les désirs et les besoins du patient, l'esthétique, les effets indésirables potentiels et les facteurs éthiques. Le traitement effectué doit refléter les meilleures pratiques pour les besoins du patient.
CHICAGO, ÉTATS-UNIS : Des mesures pour lutter contre la surprescription d'antibiotiques et le développement de bactéries résistantes aux antibiotiques ...
Quel que soit le degré de propreté et de stérilité de votre cabinet dentaire, il est quasiment illusoire d'espérer échapper à la contamination lors ...
PHILADELPHIE, États-Unis : La maladie parodontale touche près de 60 % des adultes de plus de 65 ans et représente un fardeau considérable — sur les ...
Éducation
Webinaire en direct dim.. 3 mai 2026 5:00 CET (Algiers)
DAMMAM, Arabie Saoudite : La longévité esthétique reste une préoccupation centrale dans les restaurations composites antérieures, où le changement de ...
To post a reply please login or register